Dental X-Rays (Radiographs)
At Alpine Dental Clinic in Swift Current, we are committed to providing comprehensive dental care for patients of all ages. One of the essential tools we use to maintain your oral health is dental X-rays. These imaging tests play a crucial role in diagnosing dental issues that might not be visible during a routine examination.
What Are Dental X-Rays Used For?
Dental X-rays are a valuable diagnostic tool that helps us detect and address oral health issues before they become major problems. Here are some of the key uses for dental X-rays:
- Detecting Cavities: X-rays can reveal tooth decay in areas that are difficult to see, such as between teeth or beneath fillings.
- Assessing Bone Health: They help evaluate the health of the jawbone, which is crucial for identifying issues related to gum disease or bone loss.
- Monitoring Tooth Development: For children and teens, X-rays help track the development of permanent teeth and ensure they are erupting in the right place.
- Diagnosing Impacted Teeth: If a tooth is stuck or blocked from erupting (often the wisdom teeth), X-rays help us diagnose and plan for treatment.
- Detecting Infections or Abscesses: Infections below the gumline or inside the teeth may not be visible but can be clearly identified using X-rays.
- Planning Restorative Treatments: Before performing complex procedures like dental implants, root canals, or orthodontics, X-rays provide a clear view of the dental structures to ensure precise treatment planning.
How Often Are Dental X-Rays Taken?
The frequency of dental X-rays depends on several factors, including your dental history, current oral health, and whether you’re at high risk for dental problems like cavities or gum disease. Typically, new patients may have a full set of X-rays taken during their initial visit to Alpine Dental Clinic. After that, we might recommend bitewing X-rays, which show the upper and lower back teeth, every 12 to 36 months, depending on your individual needs.
For patients with ongoing dental issues, such as gum disease or a history of frequent cavities, we might suggest more frequent X-rays to monitor the situation closely. Rest assured, we aim to minimize exposure by using the lowest radiation levels possible, thanks to modern digital X-ray technology.
The Safety of Dental X-Rays
At Alpine Dental Clinic, we prioritize the safety and well-being of our patients. Modern dental X-rays, particularly digital X-rays, use extremely low levels of radiation, making them safe for patients of all ages. We also take extra precautions by using protective lead aprons and thyroid collars to minimize exposure, especially for children and pregnant women.
When Do Children Begin Getting Dental X-Rays?
At Alpine Dental Clinic, we care for the oral health of your entire family, including children. Dental X-rays for children usually begin around the age of 5 or 6 when the permanent teeth start coming in. These early X-rays help monitor the development of the adult teeth and ensure there’s enough space in the mouth for them to erupt properly.
For younger children with high risk factors like a history of cavities or abnormal growth patterns, we may recommend X-rays even earlier. Children with healthy teeth and no history of dental problems may require fewer X-rays. Our team ensures that X-rays are only taken when absolutely necessary and with the child’s safety and comfort in mind.
Digital X-Rays at Alpine Dental Clinic
We are proud to use advanced digital X-ray technology at Alpine Dental Clinic. Digital X-rays are not only safer, but they are also faster and more efficient than traditional film-based X-rays. The images are available immediately, allowing us to diagnose and treat issues quickly. In addition, digital X-rays provide clearer images, which can be enhanced and zoomed in to get a more accurate assessment of your oral health.
Types of Dental X-Rays
There are several types of dental X-rays, each serving a specific purpose in diagnosing and monitoring oral health.
- Bitewing X-rays are commonly used to detect decay between teeth and check the fit of dental restorations like crowns and fillings.
- Periapical X-rays provide a detailed view of the entire tooth, from the crown to the root, and are often used to diagnose issues in the root structure or surrounding bone.
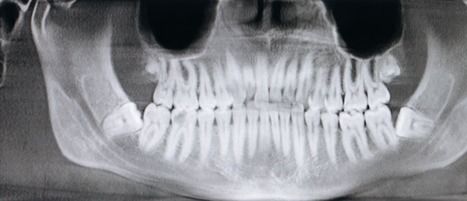
- Panoramic X-rays capture the entire mouth in a single image, including the teeth, jaw, and surrounding structures, making them ideal for assessing impacted teeth, planning orthodontic treatment, or detecting bone abnormalities.
- Occlusal X-rays offer a view of the floor or roof of the mouth, helping to track the development of teeth in children or detect abnormalities like cysts or tumors. Each type of X-ray plays a key role in ensuring comprehensive dental care.
Schedule Your Next Visit
If you are due for a dental check-up or X-rays, we encourage you to schedule an appointment with us at Alpine Dental Clinic in Swift Current. Our team is dedicated to helping you maintain excellent oral health through advanced diagnostic tools like dental X-rays, comprehensive exams, and personalized treatment plans.
Let Alpine Dental Clinic be your trusted partner in achieving and maintaining a healthy, beautiful smile.


Monday – Friday 8AM – 4PM